La deviazione del setto nasale è solitamente dovuta ad un trauma, ma può essere anche una condizione congenita o acquisita in maniera non traumatica.
Che problemi dà la deviazione del setto nasale?
È spesso trascurato il ruolo che, nella deviazione del setto, è sostenuto dalla malocclusione dentaria, che può indurre una malposizione della mandibola. Questa può essere presente fin dalla nascita o insorgere in età pediatrica per l’irregolare eruzione dentaria.
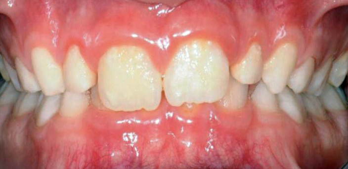
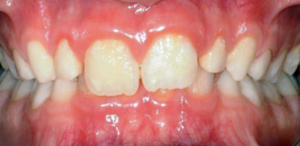
La mancanza di un’adeguata “dimensione verticale”, ovvero un “morso profondo”, si manifesta, dal punto di vista ispettivo, con i denti superiori che coprono eccessivamente quelli inferiori.
Il morso profondo riduce lo spazio disponibile per la lingua a bocca chiusa e, essendo un organo muscolare, esercita una notevole pressione sulle pareti circostanti ad ogni deglutizione.
All’indietro contribuisce a restringere lo spazio naso-faringeo, limitando il flusso respiratorio nasale e favorendo il russare notturno e l’Apnea nel Sonno.
La spinta verso l’alto sul palato, in corrispondenza della sutura mediana dove si trova il setto al “piano superiore”, contribuisce alla formazione del “palato ogivale”.
La pressione esercitata sulla sutura palatina mediana si trasmette al vomere, alla lamina perpendicolare dell’etmoide e infine alla sutura tra le ossa nasali. Se questa sutura cede, può svilupparsi un profilo con naso aquilino; se invece rimane intatta, il setto è costretto a deviare.
Anche una postura mandibolare deviata tende inevitabilmente a influenzare la crescita del setto nasale, facendolo sviluppare deviato.
Come si risolve la deviazione del setto nasale?
Anche per evitare un proseguimento della crescita in distorsione, sia della bocca che del naso, è necessario intervenire ortodonticamente nel bambino in età precoce: correggendo la malocclusione dentaria e la postura mandibolare, la crescita può proseguire regolare anziché in progressivo aggravamento.
Nell’adulto il trattamento ortodontico non può dare gli stessi risultati che si ottengono nel bambino, perché le ossa sono ormai consolidate: Il trattamento della malocclusione con malposizione mandibolare può essere però un aspetto terapeutico importante, perché non sempre la deviazione del setto è la vera responsabile di un disturbo respiratorio, e in questi casi la correzione chirurgica può non essere risolutiva.
Si vedano in proposito le altre pagine dedicate al ruolo della bocca nelle patologie respiratorie.
Vai a “Casi significativi”: https://www.studiober.com/category/rinosinusiti/

